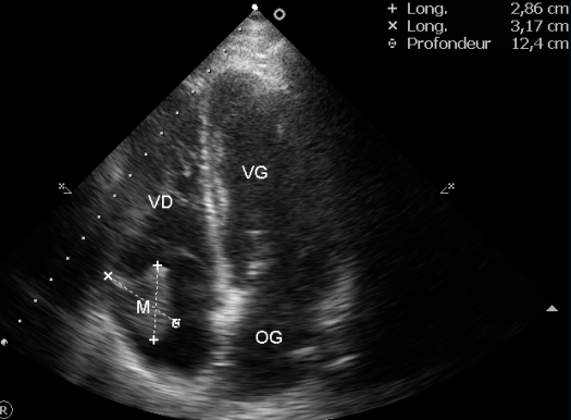
Encore une bien belle image derrière laquelle se cache malheureusement un drame individuel.
Il s’agit d’un LMNH B avec une manifestation tumorale intra cardiaque, dans l’oreillette droite pour être plus précis.

Le blog d'un cardiologue.
Encore une bien belle image derrière laquelle se cache malheureusement un drame individuel.
Il s’agit d’un LMNH B avec une manifestation tumorale intra cardiaque, dans l’oreillette droite pour être plus précis.